当前位置:首页 >> 江苏总代产品 >> TissueGnostics全景组织细胞定量分析系统

专业级组织流式定量分析系统
StrataQuest作为专业级组织流式定量分析平台,整合HistoQuest/TissueQuest软件提供的组织原位单细胞水平精准定量分析解决方案。该软件兼容多种类型组织细胞样本,实现不同生物科研领域的原位定量分析,更深层次的分析需求。
StrataQuest软件能够精准识别复杂组织中的:
分子探针标记(FISH、RNA Scope等)
细胞亚水平结构标记物(细胞器、细胞骨架等)
单细胞结构标记(细胞核、细胞质、细胞膜等)
特殊组织类型(如腺体、肿瘤、血管、支气管、肌肉、骨等)
技术特点
组织结构自动识别
基于神经网络与深度学习的单细胞识别算法
AI人工智能组织特质化数据挖掘
细胞亚型的空间位置分布
多靶点组织微环境蛋白分子互作
可视化大数据多维度分析
基于神经网络(DNN)与深度学习的单细胞识别算法

2020年,TissueGnostics公司在专业单细胞核识别算法基础上,结合深度神经网络算法(Deep Neural Networks,DNN),开发了新一代基于AI的单细胞核识别方法,不但可以更准确分辨互相挤压重叠的细胞核,而且对于细胞轮廓边界识别,排除了非焦面的模糊边界带来的不确定性,提高了细胞核/质/膜形态学识别的准确率。(左图为常规细胞核识别算法,右图为基于神经网络(DNN)与深度学习的单细胞识别算法)
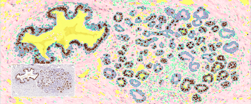
特异性组织结构的形态学识别

特异性组织区域识别解决方案,适用于明场/荧光样本。对于彩色明场样本,可自动独立细胞核/质/膜染色通道:1. 利用苏木素/DAPI染色通道,对细胞核进行精准识别,继而定量细胞核/质/膜信号强度分布及面积形态;2. 利用特异性染色及组织特征,识别上皮细胞/间质区域/空腔等结构,对肿瘤/腺体/胶原增生等组织类型进行识别及定量分析。该解决方案还可用于HE染色样本的细胞-组织结构识别,使大量样本快速染色+深度分析的工作模式成为可能。
AI人工智能组织特质化数据挖掘

作为专业大数据组织流式深度分析软件,StrataQuest整合了不同算法模块,通过标记-训练-修正的人机交互模式,能够精确获得符合不同实验需求的组织结构轮廓及其定量分析数据。同时TG公司也针对不同研究目的开发了一系列APP解决方案,实现了更多研究者对于软件高效、易于操作的使用需求。
新版StrataQuest Classifier算法获得的组织识别结果,也同样支持与其他算法模块联动,如反卷积运算、集合运算、布尔运算等等,以实现创新研究中更为精准复杂的定量分析要求。
基于细胞-组织社会学的数据驱动研究

细胞社会学是研究细胞社会性的科学,即通过研究细胞间识别、通讯、集合的的模式,对细胞与细胞、细胞与组织乃至整个机体的相互依存、相互制约、相互作用的关系进行研究,包含细胞对组织功能的影响,以及整体和细胞群对细胞的生长、分化和死亡等活动的调节控制。
StrataQuest顶级定量分析软件细胞-组织社会学分析功能,通过细胞识别及特异性结构识别、组织识别功能,可以获得:1. 目标在组织原位的数量关系、面积大小、形态学参数;2. 细胞-细胞、细胞-组织、组织-组织之间微米级的空间位置关系;3. 目标特异性染色的强度、分布、统计关系
利用TissueFAXS Cytometry二维散点图正反向回溯校验技术,对三者从数据层面和图像层面的数据进行有机整合,获得组织原位细胞社会学的大数据分布规律。
该功能源自TissueGnostics公司在欧盟CaSR Biomedicine项目中开发的数字病理顶级科研需求。该项目是通过利用单个分子钙敏感受体(CaSR)来影响一系列的生理和疾病过程,从而开发出独特,强大的多学科和跨部门的科学。项目由八个国家的13个研究小组团体合作,采用系统生物学方法来研究糖尿病、阿尔茨海默氏病、肌肉减少症、癌症、心血管疾病中,相同的细胞分子在不同组织中的重要性。通过研究来确定靶向CaSR的药物的新颖治疗方法。
组织微环境原位精准定量分析

生物体原位,不同的组织器官和构成其微环境的多种因素共同作用,发挥着不同的功能。通过哪些特征指标可以更精准的判定微环境范围和结构,以及微环境中不同因素量化的客观标准,直接影响科学研究的策略及数据的可靠性。以肿瘤微环境为例,肿瘤可以通过释放细胞信号分子影响其微环境,促进肿瘤的血管生成和诱导免疫耐受,而微环境中的免疫细胞可影响癌细胞增长和发育,有助于肿瘤异质性的形成,肿瘤微环境中的免疫细胞组成常常会决定其对某种特定疗法的响应,尤其是会决定癌症免疫疗法的成败。
StrataQuest专业组织流式定量分析软件根据识别到的肿瘤轮廓,结合实验需要,实现以微米为尺度寻找肿瘤内外不同距离范围内目的细胞的功能。可定义的识别的标准包括核/质/膜的各种形态及染色,也可以包括双标/三标乃至无上限标记数量的共表达目的细胞。通过精确定量微环境中发挥不同功能的特定细胞及其位置,找到不同实验组中的差异趋势。
利用StrataQuest软件发表的相关文章中,已有研究者证明肿瘤能够诱导肿瘤相关巨噬细胞、髓系来源的抑制细胞和调节性T细胞等的形成,进而在肿瘤微环境中诱导免疫抑制,促进肿瘤免疫逃逸,并且促进肿瘤的侵袭转移。因此,这些细胞类群也作为潜在的药物靶点来干预肿瘤的发生发展。
多种数据呈现模式

TissueFAXS Cytometry组织流式定量分析技术提供多种可选数据呈现模式(细胞真实轮廓图、散点图、直方图、热力图及原始数据等)。在TissueFAXS Cytometry二维类流式散点图与组织原位定量细胞进行实时对应校验的基础上,新增了细胞影像散点图,不但可以在散点图象限内获得真实细胞的直观分布趋势,更可以获得所有目标细胞在组织中的整体表现,便于研究者从整体水平对细胞组织定量标准进行把控。
积累20余年 经验丰富
拥有遍布全国的商务合作伙伴和较为完善的经营渠道,缔造了良好的品牌和商誉,层层筛选,全面支撑保障。
雄厚的产品研发实力
雄厚的产品研发实力、装配工艺以及精湛的生产施工队伍,为公司赢得了客户的长期信为公司赢得了客户的长期信赖和支持!
销售网络范围广
目前销售网络遍布高校以及企业实验室,先后与国内外多家知名集团公司建立长期合作关系!
创新 · 诚信 · 进取
以创新谋求发展,以诚信赢得信赖,以进取开拓未来——初心如磐,行稳致远。
400-988-2084
公众号