当前位置:首页 >> 江苏总代产品 >> TissueGnostics全景组织细胞定量分析系统

细胞级明场定量分析平台
HistoQuest(HQ)细胞级明场定量分析平台针对明场样本,满足研究者对组织原位单细胞自动识别及精准定量的需求,对不同类型细胞的细胞核/质/膜上特异性染色信号实现自动统计分析解决方案的软件。HQ可以根据样本染色情况及细胞的形态特征,精准找到并分析不同实验组之间的数据差异。
HQ采用样本批量导入+一键分析的精简操作模式,先给出初步分析数据,研究者再根据数据结果,利用散点图正反向回溯工具,针对样本差异性,调整参数阈值。这种通过数据-图像反复校验的分析流程,根植于强大的软件图像运算能力,即时得到样本切片所包含的大数据信息,最终引导研究者获得精确反映样本真实情况的数据结果。
技术特点
专业的细胞核识别算法
一键拆色分析功能
多种细胞质形态学识别模式
膜结构的距离分析
Dot点识别及其分析
多种数据呈现模式
精准提取特异性数据
自动化病理评分模块
流程化的数据处理及解决方案
专业的细胞核识别算法
TG专业的细胞核识别算法,可以识别所有厚组织中的多种类型细胞、具有复杂形态的聚焦面细胞,再根据边缘是否锐利合焦,是否具有目标的形态等等参数,在可以实时验证的基础上筛选出目标细胞群。这种细胞识别的算法,及其筛选、验证的模式,成为了业内专业度极高、极精准的组织原位定量方法的基础之一。
膜结构的距离解分析

HistoQuest分析软件独特的“膜识别”模块不仅可以用来识别抗体标记的膜定位分子,统计染色强度和面积,分析其表达量,还可以根据膜识别mask(圈选标记)与单个细胞mask检测相结合,得到细胞膜染色长度及核的膜内半径等参数,根据以上参数进行细胞膜结构的空间距离分析,更为具体的获取细胞膜的结构信息。
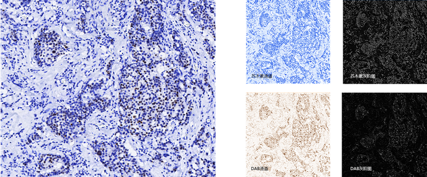
一键信号拆

在HE、免疫组化等明场样本的分析过程中,为了客观保证每个marker信号的纯净和定量的准确性,HistoQuest分析软件具有一键拆色功能,根据不同的实验目的选择相应的颜色拆分方法,可轻松处理明场样本拆色任务,获取每个marker独立通道,并转化为灰度图,避免各marker间的干扰,更准确的完成后续的分析需求。
积累20余年 经验丰富
拥有遍布全国的商务合作伙伴和较为完善的经营渠道,缔造了良好的品牌和商誉,层层筛选,全面支撑保障。
雄厚的产品研发实力
雄厚的产品研发实力、装配工艺以及精湛的生产施工队伍,为公司赢得了客户的长期信为公司赢得了客户的长期信赖和支持!
销售网络范围广
目前销售网络遍布高校以及企业实验室,先后与国内外多家知名集团公司建立长期合作关系!
创新 · 诚信 · 进取
以创新谋求发展,以诚信赢得信赖,以进取开拓未来——初心如磐,行稳致远。
400-988-2084
公众号