当前位置:首页 >> 江苏总代产品 >> TissueGnostics全景组织细胞定量分析系统
微小的细菌感染(例如轻度的食物中毒)可能会被忽视,因为即便不治疗身体也会自行恢复。但是,现在这一篇最新研究却发出警示:这些感染“日积月累”后,可能会导致慢性炎症或者引发潜在的威胁生命的肠炎疾病。
来自美国Sanford Burnham Prebys 医学研究所(SBP)、加州大学圣塔芭芭拉分校纳米医学中心(CNM)、慕尼黑大学的科学家们前后历时8年时间发现,人类的季节性细菌感染与炎症性肠炎发病率上升有关。这一发现有助于挖掘炎症性肠病的发病根源。
该篇文章发表于Science杂志上。

在研究过程中,根据实验需要开发了一种模拟人类轻度食物中毒的小鼠模型,使用的是一种极低剂量的普通细菌——鼠伤寒沙门杆菌(Salmonella Typhimurium),不会引发明显的症状或者死亡,而且所有的沙门氏菌最终都能被宿主成功消灭。

寒沙门杆菌是引发人类食源性疾病的主要病因,大多数情况下,这些细菌感染只会引发暂时性的肠道不适和功能障碍。当第四次感染发生时(与第一次相隔数月),炎症会逐渐加重,且所有小鼠模型都会患上肠炎。令人惊讶的是,尽管反复的感染已经结束,但是肠炎并没有得到改善。这表明,损伤已经造成,且不可逆转。

研究团队发现,炎症性疾病的发生与肠道碱性磷酸酶(IAP,由十二指肠分泌)缺乏有关。IAP负责去除由肠道细菌分泌的分子中的磷酸盐,从而确保这些物质由有毒转化为无毒状态。但是,沙门氏菌感染会上调小肠内神经氨酸酶的活性,进而导致IAP酶缺乏。
在研究中同样发现,可以通过提高IAP水平、抑制神经氨酸酶活性的方法(例如服用神经氨酸酶抑制剂,一种用于预防流感病毒的药物),预防炎症性疾病的发生。
实验结果显示,虽然宿主会清除掉病原体,但是这些感染会慢慢累积,最终诱导不可逆转的炎症性疾病,揭示了细菌性感染会随着年龄的增长而累积,易导致严重的炎症性疾病。
实验部分全部HE染色成像与免疫荧光成像数据,均来自于奥地利TG公司TissueFAXS Cytometry定量分析技术, 组织水平单细胞定量分析数据使用了TissueQuest和HistoQuest软件。

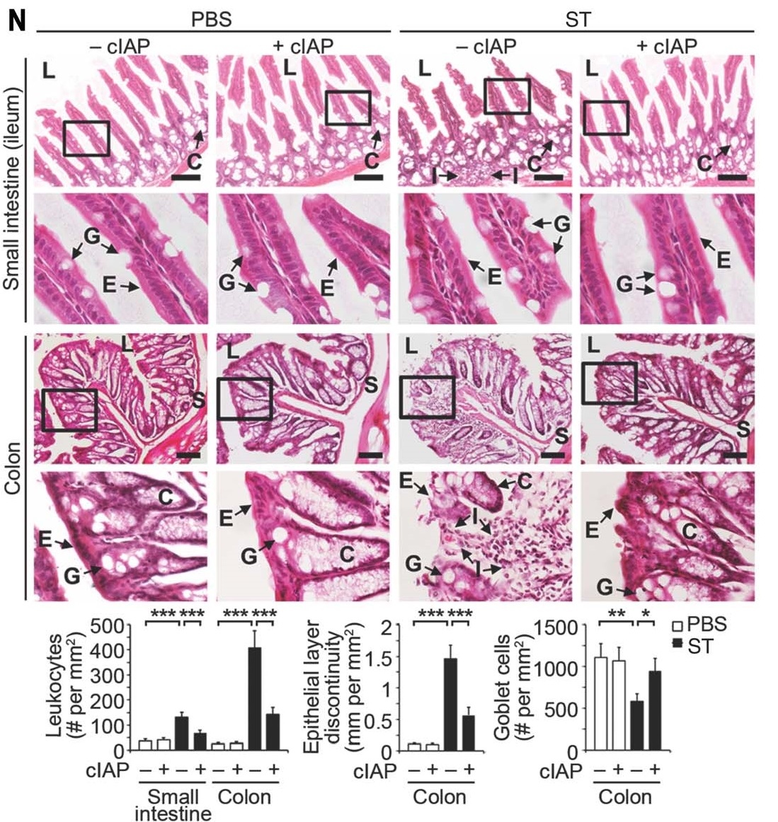
Fig 1 HE样本成像 - 48周龄的肠组织。
L:肠腔,E:上皮层, C:腺窝; G:杯状细胞, S:粘膜下层,I:白细胞浸润

Fig 2 IAP在肠组织中的原位信息和细胞内共定位。
HE染色或IAP荧光抗体染色(绿色)和细胞内区室蛋白(红色)。

Fig 3 IAP在十二指肠中的原位定位和细胞内共定位,并且得到IAP共定位的百分比(黄色)。

Fig 4 HE染色结肠组织及结肠、小肠中的炎性细胞因子RNA。

Fig 5 NEU3和IAP在十二指肠中的原位信息。

Fig 6 IAP在十二指肠中的原位信息;HE染色肠组织及定量分析数据。
在HE染色的样本中由于只存在苏木素与伊红两种颜色,无法通过特殊颜色对目标蛋白分子进行标记定量。但是,TissueFAXS Cytometry技术的优势在于,可以通过精准识别苏木素标记的细胞核,对其形态/分布/密度等数据进行定量分析,辅以通过算法识别不同组织结构与伊红结合力不同造成的颜色差异,可以对HE染色样本中的组织形态进行定量识别与分析。
利用这种方法,使病理中常用、操作简单的HE染色与精准的计算机组织原位定量分析相结合,提供了精准化高通量分析组织形态学的一种新方法。
积累20余年 经验丰富
拥有遍布全国的商务合作伙伴和较为完善的经营渠道,缔造了良好的品牌和商誉,层层筛选,全面支撑保障。
雄厚的产品研发实力
雄厚的产品研发实力、装配工艺以及精湛的生产施工队伍,为公司赢得了客户的长期信为公司赢得了客户的长期信赖和支持!
销售网络范围广
目前销售网络遍布高校以及企业实验室,先后与国内外多家知名集团公司建立长期合作关系!
创新 · 诚信 · 进取
以创新谋求发展,以诚信赢得信赖,以进取开拓未来——初心如磐,行稳致远。
400-988-2084
公众号